症例 左上5番 ダイレクトボンディング 左上6番 e.maxクラウン 左上7番 e.maxインレー
-
before
-
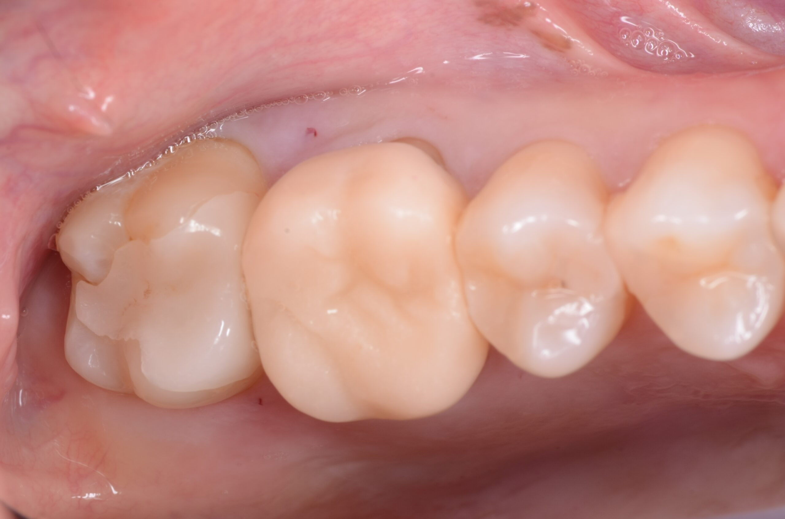
after
左上第二小臼歯・第一大臼歯・第二大臼歯の虫歯治療を行いました。
第二大臼歯『セラミックインレー』第一大臼歯は虫歯を除去後、『オールセラミッククラウン』にて治療をしております。
第二小臼歯はコンポジットレジンによるダイレクトボンディングで修復『ダイレクトボンディング』という方法で治療を行っています。
※患者さんからご了承いただき公開させていただいております。
-
製作期間中は、見た目や噛み合わせを保つために仮歯(テンポラリークラウン)を装着しました。
-
ラバーダム防湿をして接着しました。
| 担当医 | |
|---|---|
| 主訴 | 左上欠けた |
| 診断名/主な症状 | 左上第一大臼歯う蝕第二度 |
| 治療内容 | ダイレクトボンディング、セラミックインレー、オールセラミッククラウン |
| 治療期間 | 2か月 |
| 通院回数 | 4回 |
| 費用 | ダイレクトボンディング¥55,000‐ セラミックインレー¥132,000‐ オールセラミッククラウン¥198,000‐
|
リスク・副作用
修復物の脱離・破折






