費用感やお悩みなど様々なご要望に合わせた治療をご提案

症例集

cases
  • 歯周病治療
  • 根管治療
  • 審美修復治療

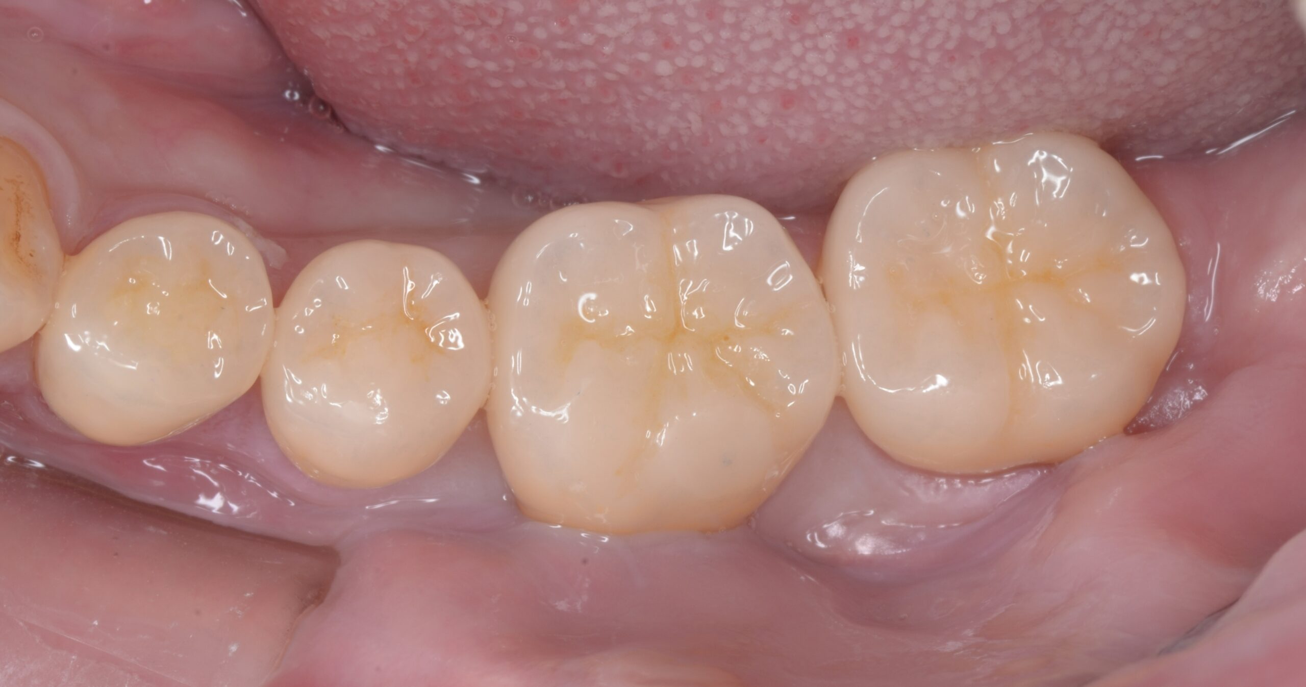
【歯周病治療】右上7番ディスタルウェッジ,オールセラミッククラウン

  • before

  • *
  • after

患者は右上臼歯部の歯肉腫脹および清掃困難を主訴として来院した。口腔内診査の結果、右上第二大臼歯遠心部に歯肉の肥厚およびポケットの残存が認められた。特に遠心部では歯肉形態の過剰により清掃性が低下しており、慢性的な炎症が持続している状態であった...

  • 根管治療
  • 審美修復治療

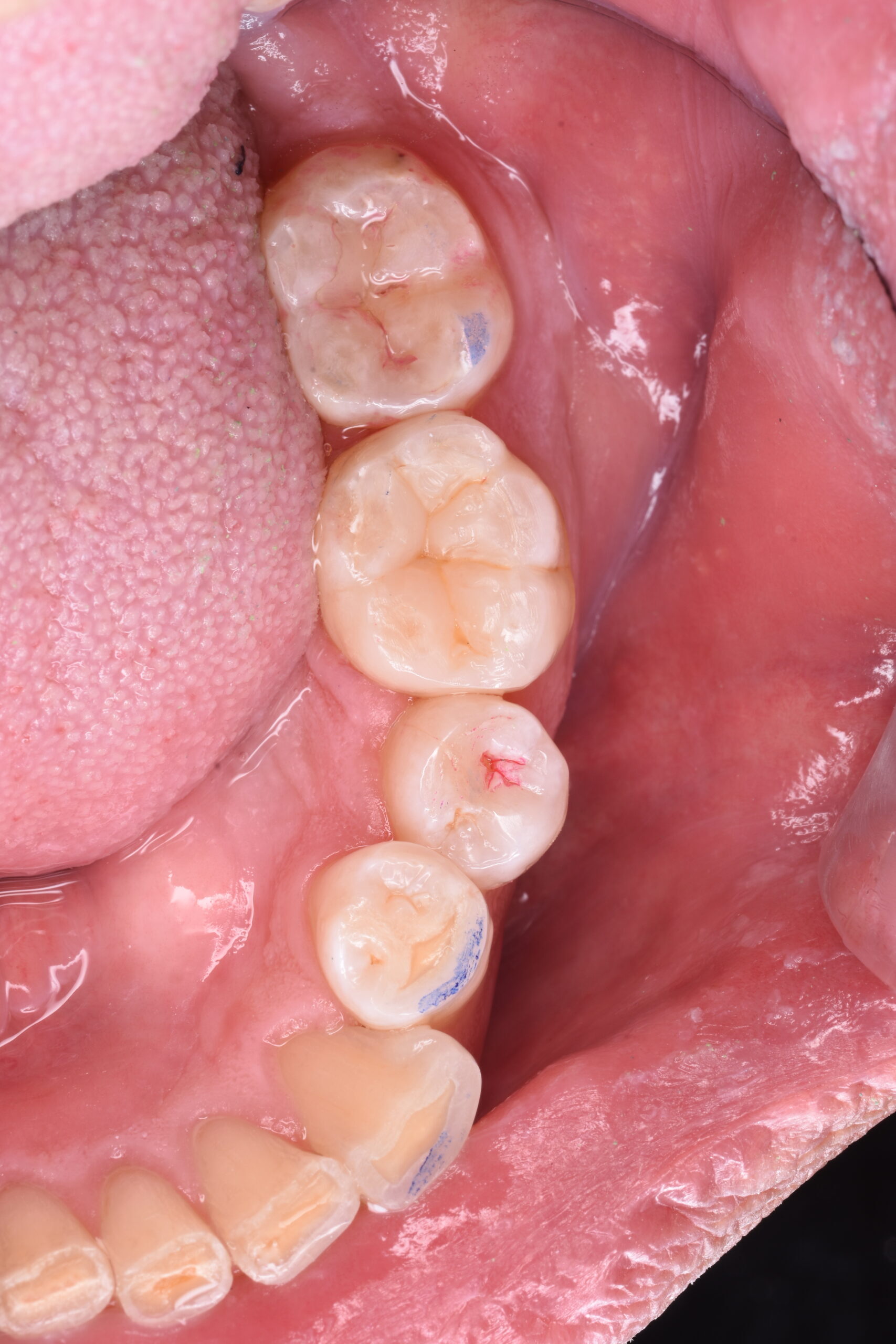
左下5番 根幹治療・e.maxクラウン 左上6番 e.maxクラウン 左上7番 根管治療・e.maxクラウン

  • before

  • *
  • after

歯肉の腫れの原因である感染した歯の神経や細菌を取り除くため、根管治療を行いました。 歯の内部の根管内を専用の器具で清掃・消毒し、細菌が残らないように洗浄を繰り返します。 根管内が清潔になったことを確認した後、薬剤を充填し、最終的に被せ物など...

  • インプラント
  • 審美修復治療

抜歯即時埋入インプラント

  • before

  • *
  • after

左下第一大臼歯の歯が割れてしまい、歯を残すことができない状態だったため、抜歯を行いました。 割れた歯をそのままにしておくと、痛みや腫れ、感染の原因になるため、適切なタイミングでの処置となりました。 今後は、失った歯の機能を回復するための治療...

  • 審美修復治療

オールセラミックインレー オールセラミッククラウン

  • before

  • *
  • after

第一小臼歯・第二小臼歯・第一大臼歯・第二大臼歯の保険の被せ物の治療を行いました。 保険の被せ物(銀歯)を、オールセラミックインレーおよびセラミッククラウンへ変更しました。 以前装着されていた保険の被せ物が、見た目や変色、フィット感の面で気に...

オフィスホワイトニング

  • before

  • *
  • after

今回は、院内で行うオフィスホワイトニングを選択しました。 専用の薬剤を歯に塗布し、光を照射して歯の表面の着色を分解していきます。...

症例 左上5番 ダイレクトボンディング 左上6番 e.maxクラウン 左上7番 e.maxインレー

  • before

  • *
  • after

左上第二小臼歯・第一大臼歯・第二大臼歯の虫歯治療を行いました。 第二大臼歯『セラミックインレー』第一大臼歯は虫歯を除去後、『オールセラミッククラウン』にて治療をしております。 第二小臼歯はコンポジットレジンによるダイレクトボンディングで修復...

  • インプラント

【インプラント】ソケットリフト(上顎洞底挙上術)

  • before

  • *
  • after

左上の第二大臼歯(7番)が歯根破折していたため抜歯を行い、骨が少ない部分を補うためにソケットリフト(上顎洞底挙上術)を行いました。インプラント治療を行いました。 治療後はしっかり噛めるようになり、見た目も自然に仕上がりました。 ※患者さんか...

  • 審美修復治療

【虫歯治療】ダイレクトボンディング

  • before

  • *
  • after

左上第二小臼歯および第一大臼歯の虫歯治療を行いました。 虫歯を除去し、健康な歯を温存できる『ダイレクトボンディング』という方法で治療を行っています。 ※患者さんからご了承いただき公開させていただいております。...

  • 歯周病治療
  • インプラント
  • 審美修復治療

歯の移植

  • before

  • *
  • after

右上の5番目の歯(第二小臼歯)に違和感があり、精密検査を行ったところ、歯が破折(ヒビや割れ)していることが判明しました。...

  • 根管治療

【根管治療】マイクロスコープを用いた根管治療

  • before

  • *
  • after

レントゲン写真で、右下の第二大臼歯の「遠心根(奥側の根)」に黒い影が確認されました。これは、根の先に炎症や感染が起きているサインである可能性があります。...