費用感やお悩みなど様々なご要望に合わせた治療をご提案

症例集

cases
  • 根管治療
  • 審美修復治療

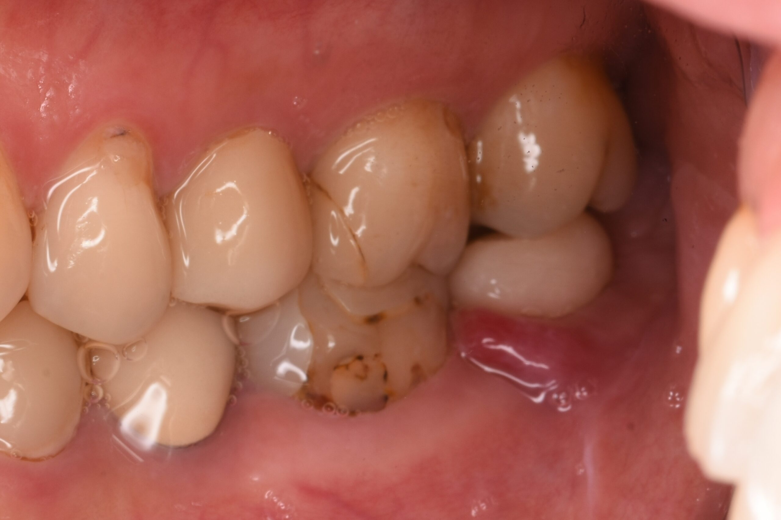
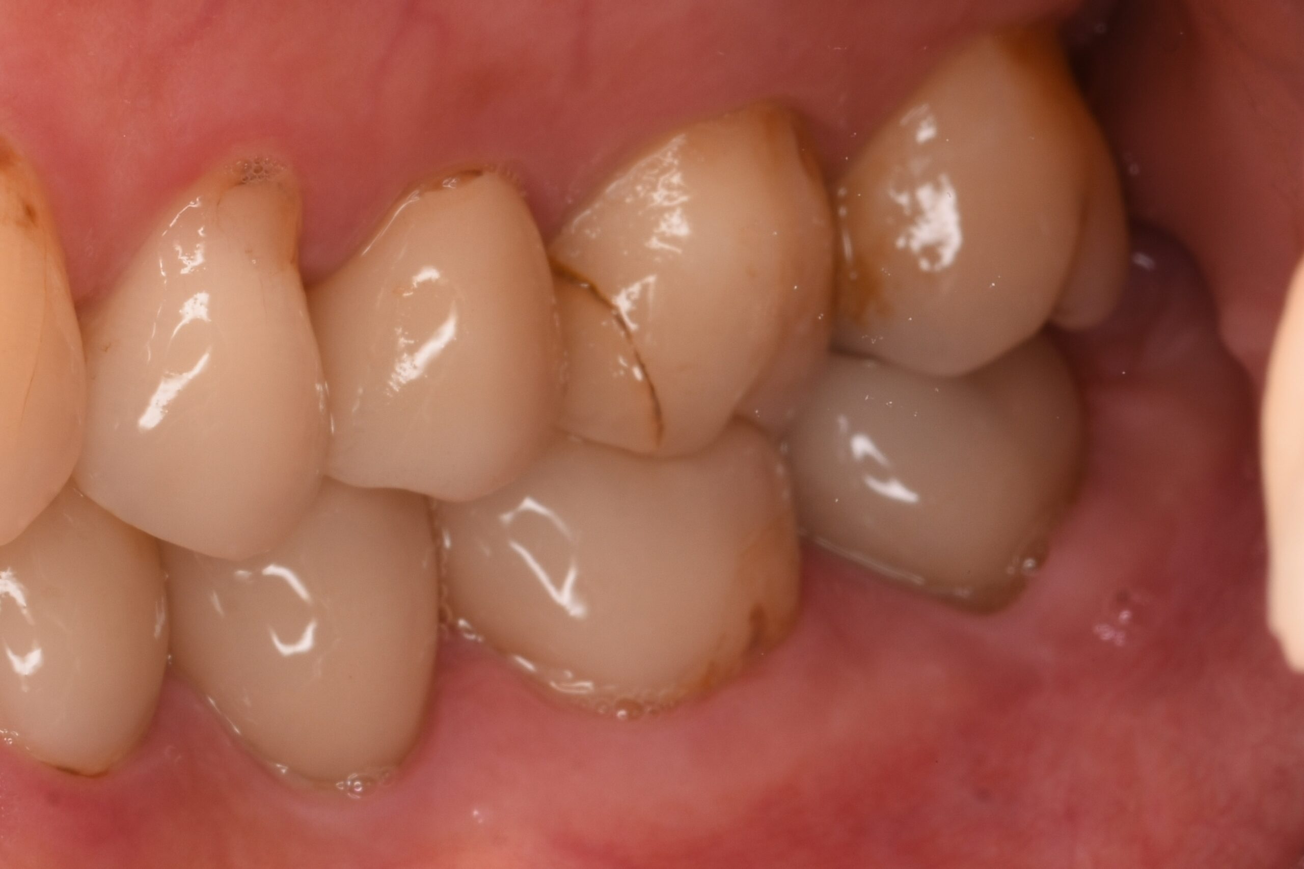
左下5番 根幹治療・e.maxクラウン 左上6番 e.maxクラウン 左上7番 根管治療・e.maxクラウン

  • before

  • *
  • after

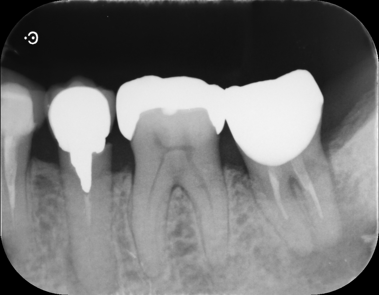
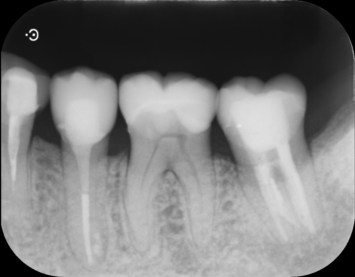
歯肉の腫れの原因である感染した歯の神経や細菌を取り除くため、根管治療を行いました。

歯の内部の根管内を専用の器具で清掃・消毒し、細菌が残らないように洗浄を繰り返します。
根管内が清潔になったことを確認した後、薬剤を充填し、最終的に被せ物などで歯を補強します。

担当医

馬場聖、米今一晃

主訴
左下奥歯の腫れ、噛むと痛みがある
診断名/主な症状
左下第二小臼歯・第二大臼歯 根尖性歯周炎
治療内容

根管治療、補綴治療

治療期間

3か月

通院回数

おおよそ10回

費用

オールセラミッククラウン ¥198,000-

感染根幹治療 (大臼歯)¥132,000-,(小臼歯)¥110,000-

リスク・副作用

・治療後に一時的な痛みや違和感が出ることがあります。
・根の形態が複雑な場合、治療回数が増えることがあります。
・感染が強い場合、再治療が必要になることがあります。
・歯の状態によっては抜歯が必要になる可能性があります。