higher
quality care
for you
safety
always
comes first
kindness
and
sincerity
the place
you can
find comfort
technology
improves
dental care




泉岳寺駅の歯医者 ヨネデンタルオフィス高輪 では、インプラント、矯正歯科、口腔外科、歯周病、根管治療など、患者さんそれぞれのお悩みに適したより効果の高い歯科医療を提供するために、それぞれのスタッフの専門性を活かした「チーム連携による診療体制」を整えています。日本口腔外科学会や日本歯科保存学会の認定医、アメリカ口腔インプラント学会(AAID)Associate Fellow などが在籍。


自身の歯を守り歯の寿命を延ばすことは、現在だけでなく将来の生活・人生の質を高めることにつながります。当院では、患者さんの大切な歯を守るために、歯科用CTをはじめマイクロスコープ(歯科用顕微鏡)や光学スキャナーを導入することで診断・治療の精度を高め、より確実性の高い治療を行っています。
その他にも充実の検査・診療機器を多数導入しており、治療後の検診・メインテナンスをはじめとする予防にも注力しています。


診療器具の滅菌には世界基準の高圧滅菌器を使用し、治療の際には専用の装置で生成した除菌水を使用するなど、院内感染を予防するための衛生管理を徹底しています。












「見える」 診断・治療で
歯も神経もなるべく残す


親知らずや口内炎など
お口のトラブルもご相談ください


しっかり噛めて
自然で美しい歯を取り戻す


確かな経験と高い技術で
再発させない効果的な治療

お口の状態に合わせた
矯正方法をご提案します

お子さんの気持ちに寄り添う
やさしい治療を行います
webやお電話からご予約の上、
症状や治療についてお気軽にご相談ください
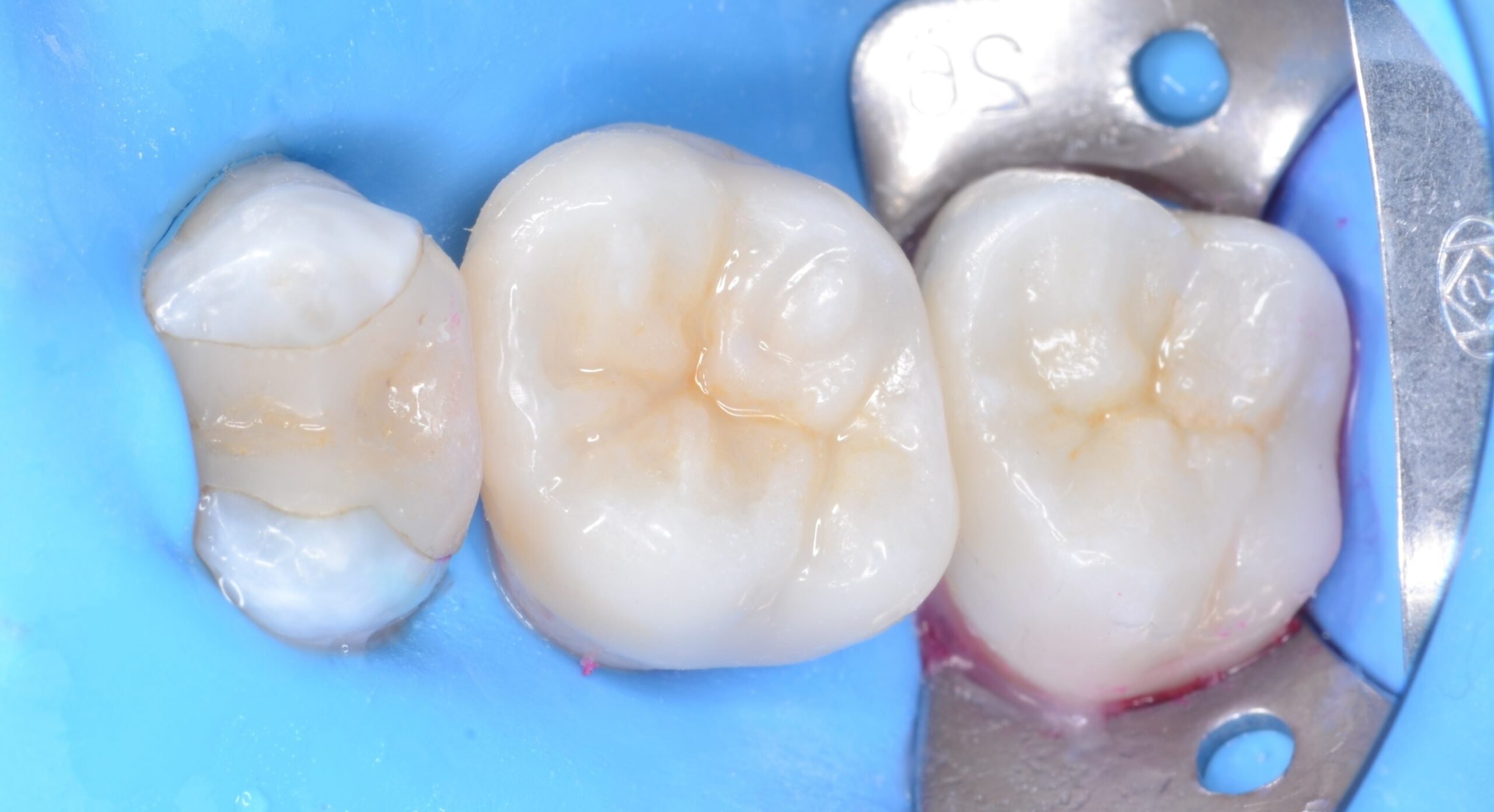
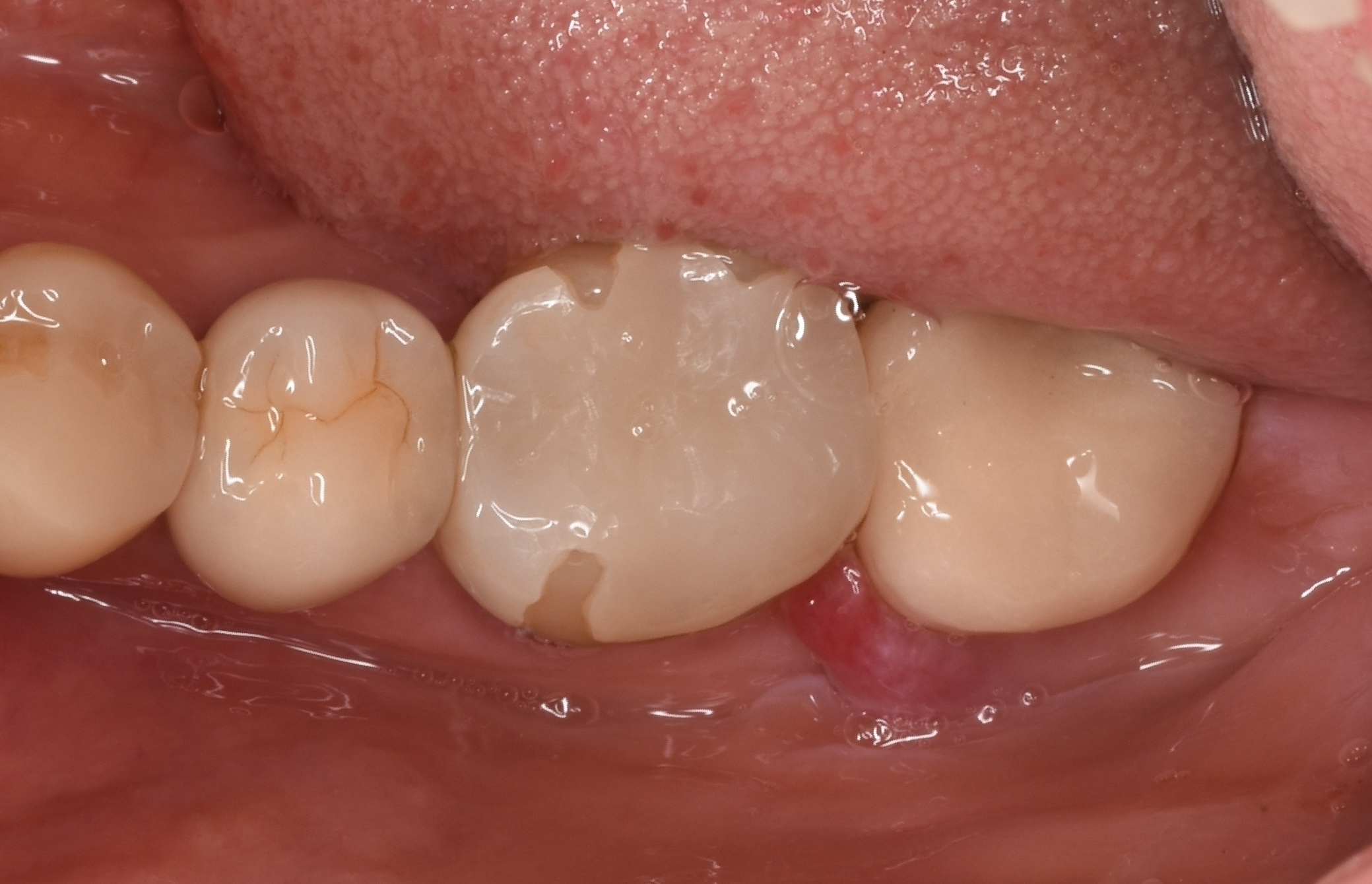
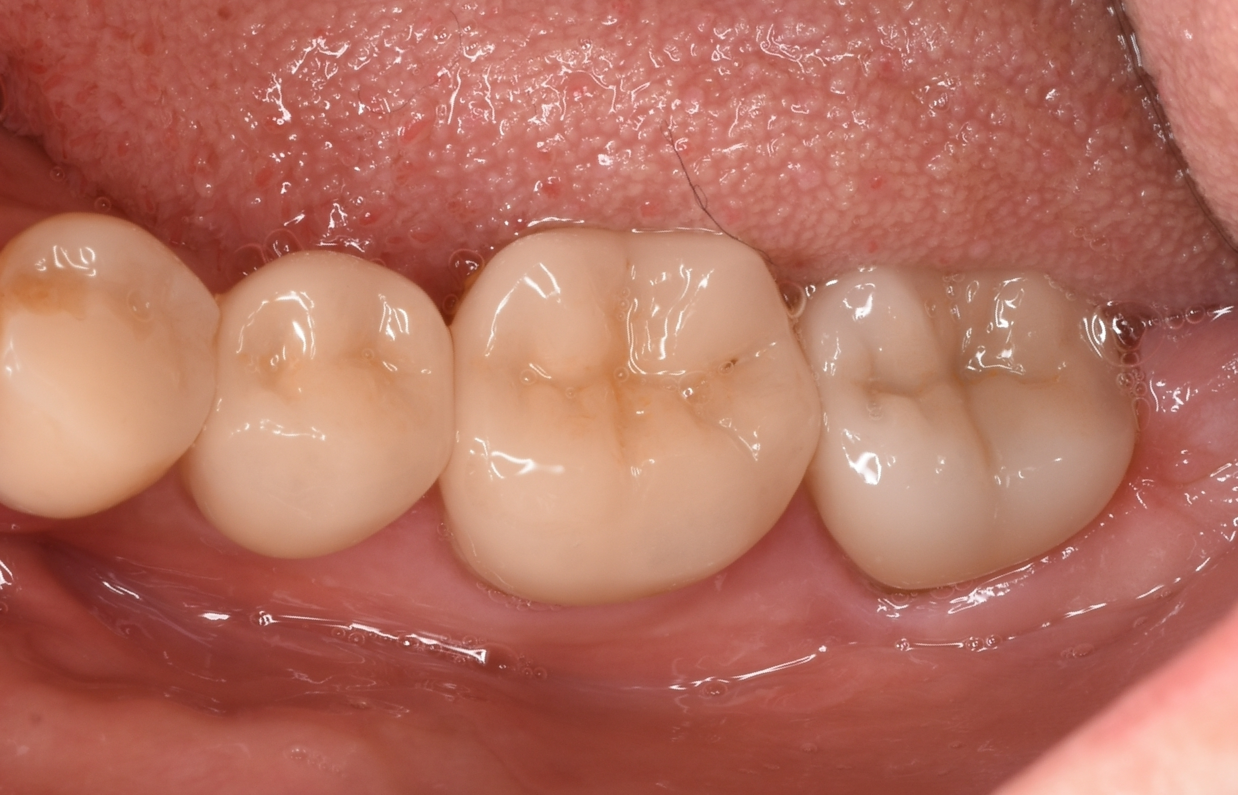
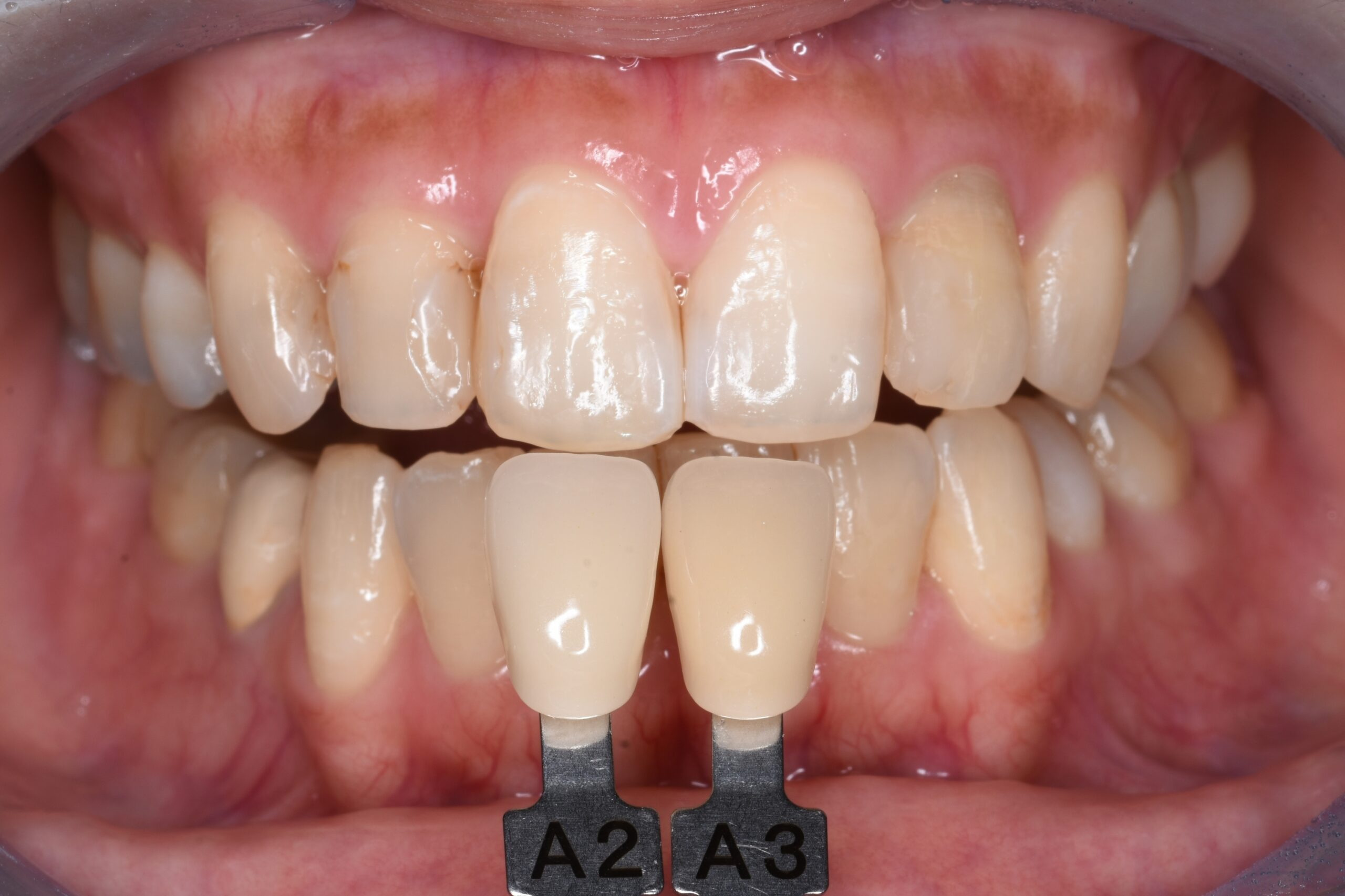
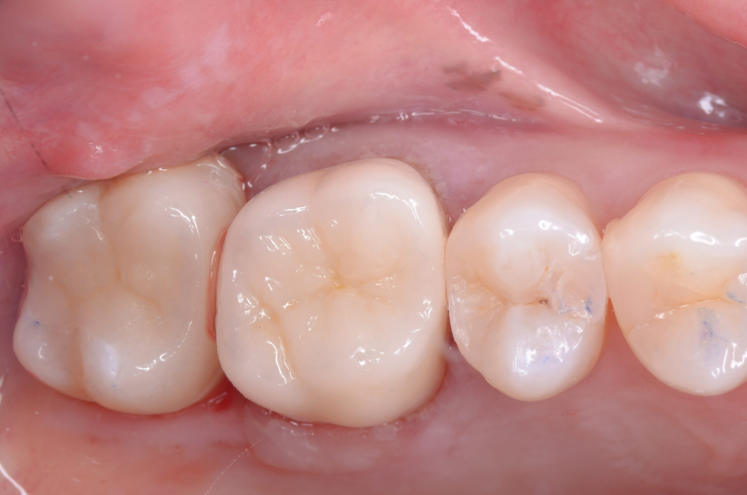
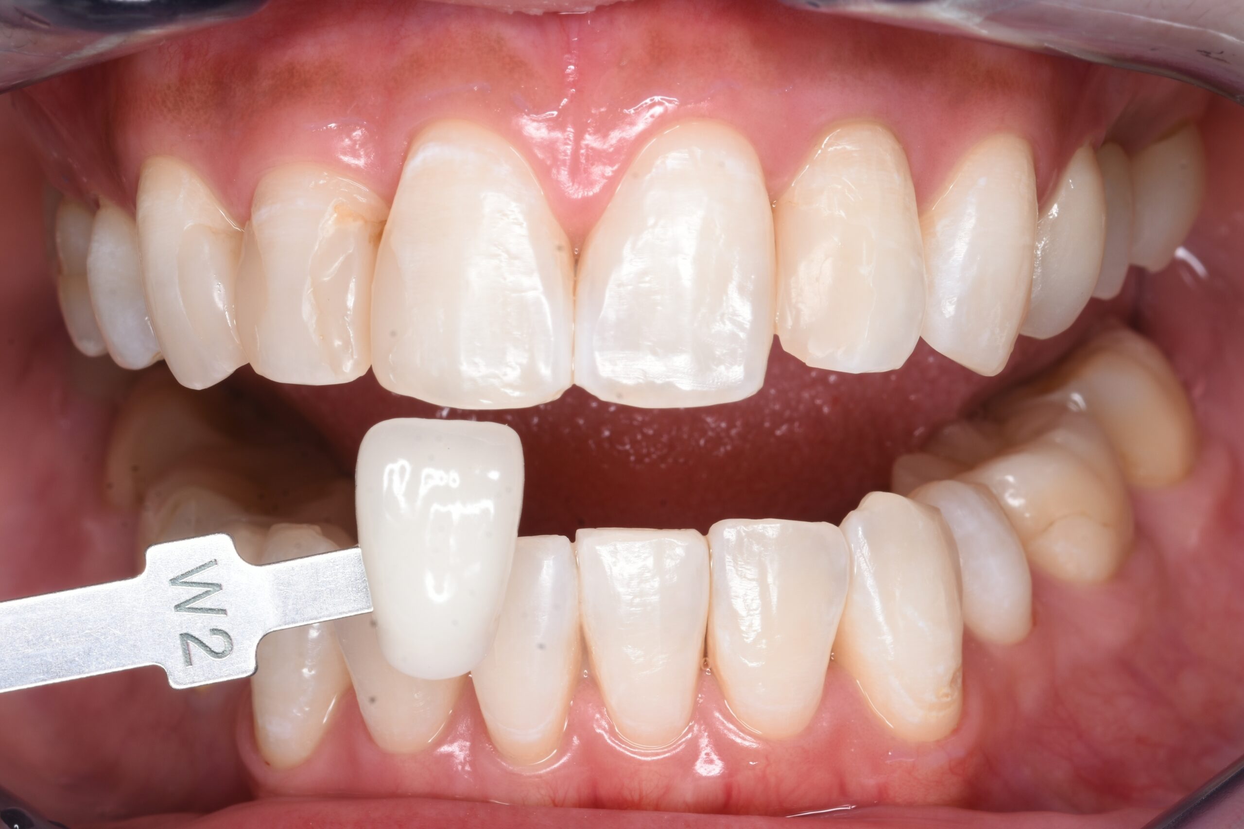
ヨネデンタルオフィス高輪で治療を
行った患者さんの症例のご紹介です。
before

after

before

after

| 月 | 火 | 水 | 木 | 金 | 土 | 日 | ||||||||||||||
|---|---|---|---|---|---|---|---|---|---|---|---|---|---|---|---|---|---|---|---|---|
| ||||||||||||||||||||
| ||||||||||||||||||||
| ||||||||||||||||||||
| ||||||||||||||||||||
| ||||||||||||||||||||
| ||||||||||||||||||||
休診日
午後休診
