- 歯周病治療
- 根管治療
- 審美修復治療
【歯周病治療】右上7番ディスタルウェッジ,オールセラミッククラウン
-
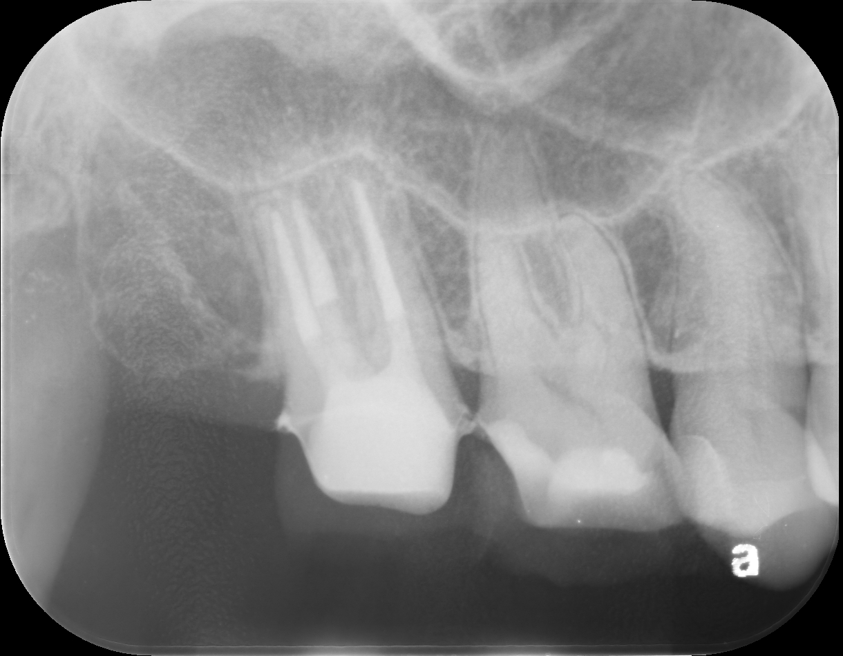
before
-
after
患者は右上臼歯部の歯肉腫脹および清掃困難を主訴として来院した。口腔内診査の結果、右上第二大臼歯遠心部に歯肉の肥厚およびポケットの残存が認められた。特に遠心部では歯肉形態の過剰により清掃性が低下しており、慢性的な炎症が持続している状態であった。
また、右上第一大臼歯および第二大臼歯には既存修復物が認められ、マージン適合および形態の問題からプラークコントロールが困難な状況であった。
以下の治療計画を立案した。
1. 歯周基本治療(口腔衛生指導、スケーリング・ルートプレーニング)
2. 右上7遠心部に対するディスタルウェッジ手術による歯肉形態改善
3. 右上6・7の補綴治療による形態回復と清掃性の改善
歯周組織の炎症をコントロールした後に外科処置を行い、最終的に補綴治療によって機能および形態の回復を図る方針とした。
外科処置
歯周基本治療後も右上7遠心部に歯肉の肥厚およびポケット残存が認められたため、ディスタルウェッジ手術を行った。
第二大臼歯遠心部の過剰歯肉を楔状に切除し、歯肉形態を整えることでポケットの減少および清掃性の改善を図った。術後は良好な歯肉形態が獲得され、遠心部のプラークコントロールが容易となった。
| 担当医 | 米今一晃,馬場聖 |
|---|---|
| 主訴 | 歯茎が腫れる |
| 診断名/主な症状 | 右上臼歯部歯周炎 右上7遠心部歯肉形態異常による清掃障害 右上6・7補綴不良 ・右上7遠心部の歯肉腫脹 ・歯周ポケットの深化 ・プラーク停滞 ・ブラッシング時出血 |
| 治療内容 | ディスタルウェッジ |
| 治療期間 | 3か月 |
| 通院回数 | 8回 |
| 費用 | ¥440,000‐ |
リスク・副作用
・術後疼痛
・腫脹
・出血
・感染
・知覚過敏
・歯肉退縮









