- インプラント
- 審美修復治療
抜歯即時埋入インプラント
-
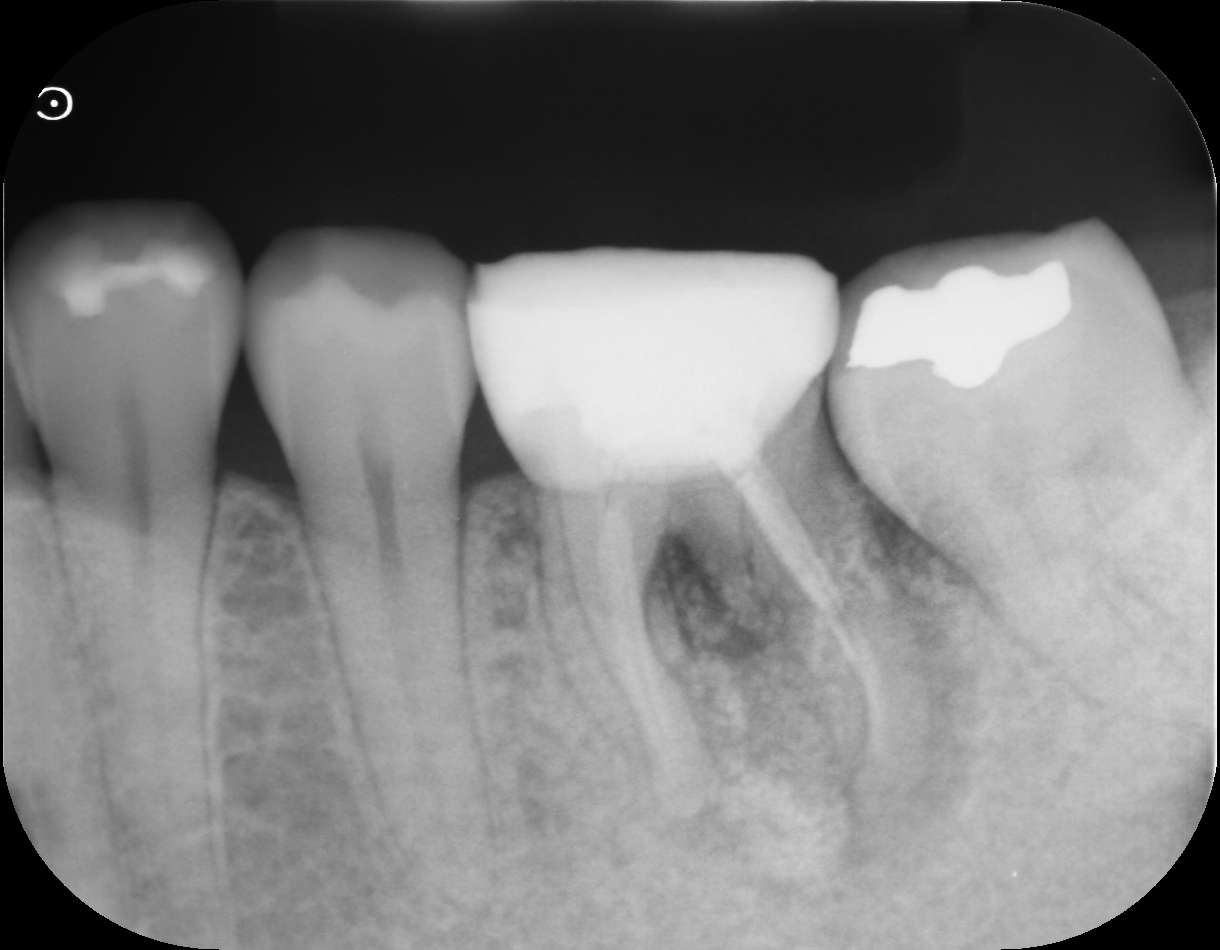
before
-
after
左下第一大臼歯の歯が割れてしまい、歯を残すことができない状態だったため、抜歯を行いました。
割れた歯をそのままにしておくと、痛みや腫れ、感染の原因になるため、適切なタイミングでの処置となりました。
今後は、失った歯の機能を回復するための治療を計画していきます。
-
抜歯後、そのままにしておくと骨がやせてしまう可能性があるため、抜歯したその日のうちに、将来インプラントを入れるための骨を守る処置(歯槽堤温存術)を行いました。
この処置により、骨の量をできるだけ保ち、インプラントの周りの環境を整えることができます。
| 担当医 | 米今一晃 |
|---|---|
| 主訴 | 左下6番の歯が割れた |
| 診断名/主な症状 | 左下第一大臼歯歯根破折 |
| 治療内容 | 抜歯、骨造成術、インプラント即時埋入術 |
| 抜歯部位 | 左下第一大臼歯 |
| 治療期間 | 6ヶ月 |
| 通院回数 | 6回 |
| 費用 | 約600.000円 |
リスク・副作用
手術直後の痛みや腫れ 出血 感染症 神経損傷 インプラント周囲炎 等









